廊坊隐形龅牙正畸
时间:2019-02-23 16:49
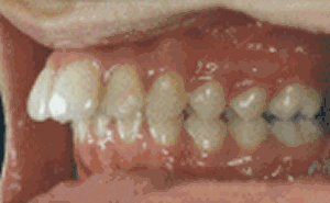
龅牙可以说是牙齿畸形中较难看的一种了,特别是一笑就容易露出突突的牙齿,贼尴尬,对颜值影响极大。不仅如此,龅牙也是牙齿矫正中较困难的一种。
目前流行的一种牙齿矫正方式---隐形矫正,给诸多爱美人士带来了福音,特别是对于龅牙患者来说,更是一种新的希望。一些龅牙患者本来就对自己的牙齿外突比较在意,如果再加个牙套,心理负担就更重了,隐形矫正可以帮助龅牙患者完美的解决这个困扰,让龅牙悄悄消失。
那么你的龅牙能不能通过隐形正畸矫正呢?
龅牙是牙齿矫正中较困难的一种,龅牙的矫正并不像一般的牙齿矫正那么单纯,患者要听医嘱,判断牙齿是骨性的还是牙性的。
首先,如果你是骨性的龅牙则需要通过外科手术的方式加以矫正,改善凸嘴的症状。龅牙矫正手术是一种口腔微创手术,通过去除骨皮质进行牙槽骨的移动,让牙槽骨恢复正常的位置和形态,继而牙齿恢复理想的形态,咬合关系和脸型也就自然会恢复正常了。
其次,如果你是牙性的龅牙则比较容易矫正,那么隐形矫正其不影响美观和社交,是龅牙比较理想的方式。
但是具体能不能做,还要检查个人条件是否符合,自身条件不行,隐形矫正也是没法做的,还是要听医生的建议。
龅牙隐形矫正需要多少钱?
龅牙隐形矫正受到多种因素的影响,一般数千元至数万元之间,具体情况如下:
1.龅牙治疗前期需要检查、拍X光片、设计、分牙,有时可能会需要拔牙,看拔牙的难度和个数了,费用要比不拔牙的贵几百到几千块钱,个人龅牙严重情况不同,矫正费用也是不一样的。
2.隐形矫正牙套品牌、方式选择。比如舌侧隐形矫正、隐适美等等,不同的隐形牙套有不同的价格。
3.隐形矫正牙齿的价格较大的区别还是和矫正医生的经验有关,技术好的医生和技术一般的医生费用能差2万多元。
龅牙隐形矫正的矫正方式:
1.隐适美全隐形矫正,具有美观、透明和可自行摘带的特点,清洁特别方便省去了不少麻烦,个人比较喜欢这种方式。
2.舌恻隐行矫正。矫治器安装于患者舌侧面进行正畸治疗,从外观上是看不到任何正畸治疗装置的,目前这种技术已经足够成熟,也吸引了不少想要隐形矫正的患者。
五官再好也会被牙齿畸形累及,有龅牙尽早矫正,深受龅牙折磨朋友们,赶快行动起来,消灭它吧!
相关阅读